Ankara’da köpeklerin saldırısından kaçarken düştü: Kolunu kırdı
Sokaklarda dolaşan başıboş köpekler, can yakmaya devam ediyor.
Ciddi yaralanmalara, hastalıklara, kalıcı hasarlara hatta ölümlere sebep olan olan sokak köpekleri, bir kez daha vatandaşı mağdur etti.
9 KÖPEĞİN BİRDEN SALDIRISINA UĞRADI
Ankara’nın Mamak ilçesinde 35 yaşındaki Yasin Arslantaş, sabah işe gitmek için çıktığı evinin önünde 9 sokak köpeğinin saldırısına uğradı.
Arslantaş, üzerine gelen köpekleri görünce kaçmaya başladı.
KÖPEKLERDEN KAÇARKEN DÜŞTÜ
Arslantaş, peşinden koşup bacaklarından ısırmaya çalışan köpeklerden kurtulup yol kenarında park halindeki kamyonetin kasasına çıktı.
Bu sırada dengesini kaybedip düşen Arslantaş, yaralandı.
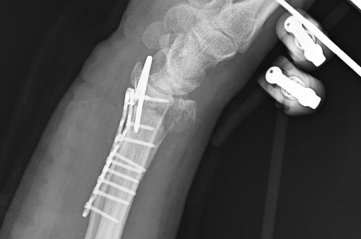
KOLUNU KIRDIĞI ORTAYA ÇIKTI
112 Acil Servis’i arayarak yardım isteyen Arslantaş, ambulansla hastaneye kaldırıldı.
Sağ kolunda bilek kısmında parçalı kırık oluşan Arslantaş, ameliyat edilip, tedavisi tamamlandıktan sonra taburcu edildi.
Köpeklerin saldırması ve Arslantaş’ın koşarak kaçması, güvenlik kamerasına yansıdı.

“KÖPEKLER SALDIRGAN ŞEKİLDE KOŞTU”
Kolu askıda olan ve kontrolleri süren Arslantaş, şunları söyledi:
Sabah işe gitmek için evden çıktığım sırada arkamdan 9 köpek geldi. Köpekler saldırgandı. Aracın hemen yanında pikap vardı. Köpekler saldırgan şekilde koştu peşimden, kaydım, düştüm.
Doktorlar, bilekteki kemiğin parçalı kırık olması nedeniyle tam iyileşmenin zor olduğunu belirtti. Yanı sıra his ve hareket kaybı yaşanabileceği ifade ettiler. Yaklaşık 3-3,5 saat süren ameliyatın ardından 2 ay kadar fizik tedavi görmem gerektiği söylendi.

“KÖPEK GÖRDÜKÇE YOLUMU DEĞİŞTİRİYORUM”
Arslantaş, köpeklerin bölgede daha önce de dolaştığını ancak bu denli saldırgan olmadıklarını belirterek, şöyle konuştu:
Bu kez kaçamadım. Köpekler peşimden saldırgan şekilde koştu. Düştüm, kaydım. Maddi ve manevi olarak büyük zarar gördük. Çalışamıyorum, işsiz kaldım. Olayın ardından ambulans çağırdım. Beyaz Masa’yı aradım. Beni ilçe belediyesine yönlendirdiler. Fakat ekiplere ulaşamadım.
Cevapsız kalınca CİMER’e başvurdum. Yaklaşık 20 gün sonra bana ulaştılar. Köpeklerin toplanıldığını belirttiler. Fakat sokaklarda hala köpekler dolaşıyor. 7 yaşındaki kızımı güvenlik endişesi nedeniyle okul servisine yazdırmak zorunda kaldık. Çocuğum psikolojik olarak etkilendi. Ben de köpekleri gördükçe yolumu değiştiriyorum.
